首页
戴好牙冠内侧有道棱是粘合剂吗
返回

戴好牙冠内侧有道棱是粘合剂吗

2023-09-20 综合百科 By:佚名
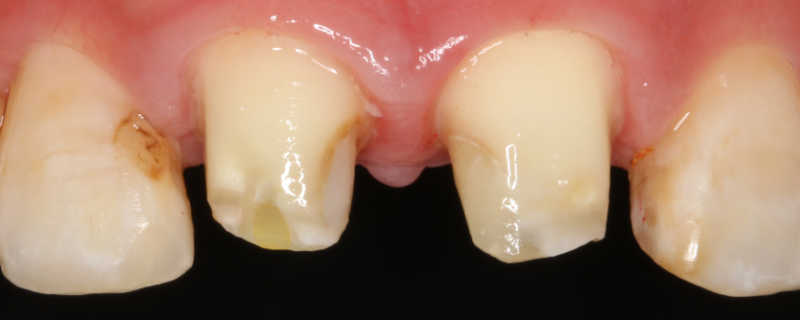
最佳答案戴好牙冠内侧有道棱是粘合剂。如果患者在粘接修复体时,没有完全与牙体组织贴合,就会导致牙冠里面有多余的胶,出现这种情况,患者可以到口腔科进行检查,并在医生的指导下将多余的胶去除,然后重新进行粘接修复体。

戴好牙冠内侧有道棱是粘合剂。如果患者在粘接修复体时,没有完全与牙体组织贴合,就会导致牙冠里面有多余的胶,出现这种情况,患者可以到口腔科进行检查,并在医生的指导下将多余的胶去除,然后重新进行粘接修复体。

猜你喜欢
hp540笔记本光驱(hp540驱动)

hp540笔记本光驱(hp540驱动)

01-03 0 阅读
未来生存手册(关于未来生存手册的简介)

未来生存手册(关于未来生存手册的简介)

01-01 0 阅读
杭州孺子教育科技有限公司(关于杭州孺子教育科技有限公司的简介)

杭州孺子教育科技有限公司(关于杭州孺子教育科技有限公司的简介)

12-31 0 阅读
汽车空气滤芯多久换一次(多久换一次汽车空气滤芯)

汽车空气滤芯多久换一次(多久换一次汽车空气滤芯)

02-18 0 阅读
蒙曼太平公主(关于蒙曼太平公主的基本详情介绍)

蒙曼太平公主(关于蒙曼太平公主的基本详情介绍)

01-02 0 阅读
想买幻速H6,不知道有没有车友提供下意见?

想买幻速H6,不知道有没有车友提供下意见?

12-03 0 阅读
热门推荐
hp540笔记本光驱(hp540驱动)

hp540笔记本光驱(hp540驱动)

01-03 0 阅读
未来生存手册(关于未来生存手册的简介)

未来生存手册(关于未来生存手册的简介)

01-01 0 阅读
生肖猪2022年11月哪一天开市最好?

生肖猪2022年11月哪一天开市最好?

01-11 0 阅读
biospa(关于biospa的基本详情介绍)

biospa(关于biospa的基本详情介绍)

01-01 0 阅读
杭州孺子教育科技有限公司(关于杭州孺子教育科技有限公司的简介)

杭州孺子教育科技有限公司(关于杭州孺子教育科技有限公司的简介)

12-31 0 阅读
汽车空气滤芯多久换一次(多久换一次汽车空气滤芯)

汽车空气滤芯多久换一次(多久换一次汽车空气滤芯)

02-18 0 阅读
蒙曼太平公主(关于蒙曼太平公主的基本详情介绍)

蒙曼太平公主(关于蒙曼太平公主的基本详情介绍)

01-02 0 阅读
想买幻速H6,不知道有没有车友提供下意见?

想买幻速H6,不知道有没有车友提供下意见?

12-03 0 阅读
全城热恋2017张浩思哪期

全城热恋2017张浩思哪期

11-26 0 阅读
支付宝封号协议是什么

支付宝封号协议是什么

03-17 0 阅读